年齢を理由に諦めない。大人だからこそ必要な
矯正治療 Confident Adult Smile
矯正治療は、もはや子どもや中高生だけのものではありません。大人になってからでも歯は十分に動かすことができるため、年齢に関係なく、「今から始めたい」と思ったらいつでも治療をスタートできます。
悪い歯並びを放置すると、虫歯や歯周病、顎関節の痛みなど、さまざまなトラブルを引き起こす原因となります。大人の方だからこそ、お口の基盤を整える矯正治療が大切です。これから先の長い人生を、ご自身の歯で健康に、そして自信を持って過ごすために――今こそ、矯正治療を始めてみませんか。
TRENDS 年代別にみる矯正治療の傾向
- 20代
社会人としての生活が始まり、新しい出会いや人間関係が増える時期です。
- 学生時代からの歯並びのコンプレックスを解消したい
- ファッションを楽しむように口元も整えたい
このような動機から矯正治療を始める方が多く見られます。この年代は、矯正治療への抵抗感が少なく、新しい治療法にも関心が高い傾向があります。
また、結婚式や就職活動など人生の節目に向けて、短期間で治療を終えたいと考える方もいらっしゃいます。
- 30代
社会人として生活が安定し、自分の健康や見た目に意識が高まる時期です。
- 人前で話すことが多く、見た目に配慮したい
- 結婚や出産前にきれいな歯並びを整えたい
上記を理由に矯正を始める方が多く、マウスピース矯正や目立ちにくいブラケット矯正を選ばれる傾向があります。
- 40代
虫歯や歯周病、欠損歯が出始める方が増え、矯正治療だけではなく総合的な治療が必要となるケースが目立ちます。
- 噛み合わせが悪くなり、歯が欠けたり割れたりした
- 歯周病で歯が揺れてきたため、矯正と併せて治したい
このように見た目の改善だけでなく機能改善を目的とした矯正治療が増えてきます。
- 50代
長年の噛み合わせの不調や欠損歯による影響が強く出やすい時期です。
- 部分的にインプラントを併用しながら歯並びを整えたい
- 将来の健康寿命を延ばすために噛み合わせを整えたい
この年代では、矯正治療に加えてインプラントや補綴治療を組み合わせ、口腔全体の健康を再構築するケースが多くなります。
大人の矯正治療ガイド 治療法の特徴と選び方
「もう大人だから矯正は難しい」と思っていませんか?実は、大人になってから矯正治療を始める方は年々増えています。
大人の矯正治療は、単に見た目を美しく整えるだけでなく、歯の健康を根本から改善し、歯の寿命を延ばすための「未来への投資」でもあります。
歯並びを整えることで、会話や食事を心から楽しめるようになり、今後の人生をより豊かに過ごすことにつながります。ご自身のライフスタイルやご希望に合った治療法を、ぜひ一緒に見つけていきましょう。
マウスピース矯正
(インビザライン) Clear aligner orthodontics
透明なマウスピース型の「アライナー」と呼ばれる器具を使用し、段階的に歯を動かす治療法です。装置が透明なため、矯正していてもほとんど気づかれません。
また、食事や歯磨きの際にはご自身で取り外せるため、普段通りの生活を送れることができます。装置を清潔に保ちやすく、虫歯や歯周病のリスクを抑えられる点も特徴です。ただし、1日20時間以上の装着が必要なため、自己管理がしっかりとできることが必須です。
ブラケット矯正
(ワイヤー矯正) Bracket orthodontics
歯の表面にブラケットを装着し、ワイヤーで少しずつ歯を動かしていく、従来型の矯正方法です。複雑な歯並びにも対応でき、精度の高い歯の移動が可能です。
また、常に装置が装着されているため、自己管理の負担が少なく、確実に治療を進められます。近年では、クリアブラケットなど目立ちにくい素材を選ぶことも可能です。
顎顔面矯正
(MFT:口腔筋機能療法の併用) Maxillofacial orthodontics
歯並びの乱れは、遺伝的な要因だけでなく、舌の癖や口呼吸などの日常的な習慣によっても引き起こされます。これらの習慣は、大人になってからも歯並びの乱れを悪化させたり、矯正後の後戻りの原因になったりすることがあります。
当院では、矯正治療と並行してMFT(口腔筋機能療法)を取り入れています。これは、舌・唇・頬などの筋肉を正しく使えるようにするためのトレーニングです。
大人の方でも筋肉の使い方を正しく身につけることで、呼吸や発音の改善、顎関節への負担軽減にもつながります。
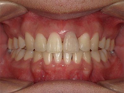
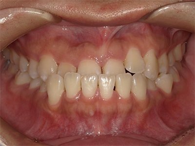
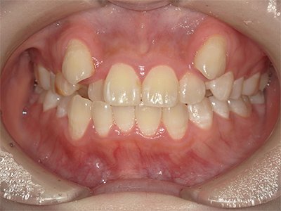
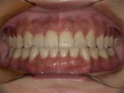
あなたのニーズに
ぴったりの治療法は?
矯正治療中の
お手入れの重要性
矯正治療中の歯のお手入れは、治療を成功へ導くために欠かせない大切なステップです。ワイヤー矯正・マウスピース矯正のいずれの場合も、毎日の丁寧なケアが重要になります。
特にワイヤー矯正は装置が複雑なため、汚れが残りやすく、虫歯や歯周病のリスクが高まります。
そのため、通常の歯ブラシに加えてタフトブラシや歯間ブラシ、デンタルフロスなどを使用し、装置の周囲や歯の隙間を丁寧にお手入れすることが大切です。
一方、マウスピース矯正の場合も、装置に汚れや細菌が付着すると、虫歯や歯周病、口臭の原因となります。食事の際はマウスピースを外し、歯磨きをしてから再装着しましょう。また、マウスピース自体も専用の洗浄剤などを用いて毎日清潔に保つことが大切です。
矯正治療中は、ご自宅でのセルフケアに加え、歯科医院でのエアフローなどのプロフェッショナルクリーニングを定期的に受けることで、装置周辺の汚れや着色(ステイン)を効果的に除去できます。
虫歯や歯周病も包括的に
治療する「総合治療」の強み
成人の方の場合、すでに虫歯や歯周病を抱えていたり、被せ物・欠損歯があるケースも少なくありません。そのため、歯並びだけを整える矯正治療では、根本的なお口の健康改善にはつながらないことがあります。当院が提供する「総合治療」は、矯正治療と他の歯科治療を組み合わせ、お口全体を根本から健康な状態へ導くことを目的としています。
矯正治療をきっかけに、
口腔環境をトータルで改善
当院は矯正治療だけでなく、虫歯や歯周病の治療、補綴治療(被せ物や詰め物)、インプラント治療まで幅広く対応する総合歯科医院です。院長はこれらの分野すべてにおいて豊富な経験を持ち、患者様一人ひとりのお口の状態を包括的に診断し、最適な治療計画をご提案いたします。
歯並びを整えることを軸に、必要に応じて虫歯や歯周病の進行を食い止める処置を行い、さらに被せ物やインプラントを組み合わせることで、「噛み合わせ」を重視した長期的な健康維持が可能になります。
また、複数の医院に通う手間もなく、すべての治療を一貫して当院で完結できる点も大きなメリットです。 矯正治療は、単に見た目を美しくするだけでなく、お口全体の健康を取り戻すための第一歩です。お一人ひとりに適した総合治療を通じて、健康な歯を長く守るお手伝いをいたします。


