マウスピース矯正
(インビザライン)
Mouthpiece

食事も、歯みがきも、
いつも通りに
あなたの
ライフスタイルを
邪魔しない歯列矯正、
インビザライン

リード_02 イメージ1

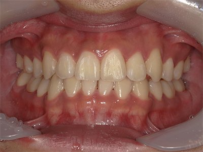
インビザラインとは、透明なマウスピース型の矯正装置を段階的に交換しながら、少しずつ歯を動かしていく治療法です。従来のワイヤー矯正とは異なり、装置が目立ちにくく、まるでつけていないかのような自然な見た目が大きな特徴です。
また装置はご自身で自由に取り外しができるため、食事や歯みがきは普段通りに行えます。矯正中でも好きなものを食べたり、歯を隅々まで磨いて清潔に保つことができるため、虫歯や歯周病のリスクを抑えられます。
日常生活への影響が少ない点から、学生の方から社会人の方まで幅広い世代に支持されています。

年代別にみる
マウスピース矯正の特徴

インビザラインに
年齢制限はある?

イメージ

インビザラインは、幅広い年齢層の方に対応できる矯正治療法です。目立ちにくいという特長から若年層に人気がありますが、中高年の方にも効果的で治療開始に年齢制限はありません。一般的には、永久歯が生え揃う12歳頃から治療を始めるケースが多くみられます。

年齢を重ねるにつれて、歯肉炎や歯周炎のリスクが高まります。これらの予防には、毎日の丁寧なブラッシングが不可欠です。
インビザラインは、取り外し可能なマウスピース型の矯正装置のため、歯磨きがしやすく、矯正中でも普段通りにケアを行える点が大きなメリットです。装置を外してしっかりと歯を磨けるため、口腔内を常に清潔に保つことができます。

治療のポイント

幅広い年代の方に選ばれているインビザラインですが、年齢によってお口の状態やライフスタイルが異なるため、治療の進め方や注意点にも違いがあります。ここでは、年代別にみた治療のポイントとメリットをご紹介します。

ライフスタイルに合わせた
矯正治療

仕事やプライベートが充実し、新しい出会いや大切なライフイベントを控えている方も多い時期です。この年代の方にとって、目立ちにくいインビザラインは、見た目を気にせず矯正を進められる大きなメリットとなります。
また、装置はご自身で取り外すことができるため、食事や歯磨きも普段通りに行えます。矯正中でもストレスを感じることなく、友人との外食や飲み会を楽しめます。
一般的に、歯やあごの骨が健康で歯周病などの問題が少ないため、治療がスムーズに進みやすいのもこの年代の特徴です。

文章
Young adults
文章

症例紹介

  1. 01

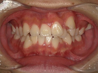
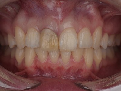
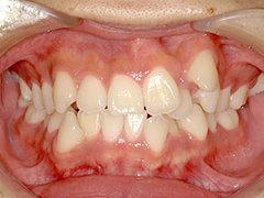
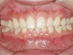
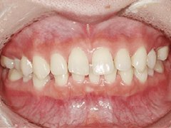
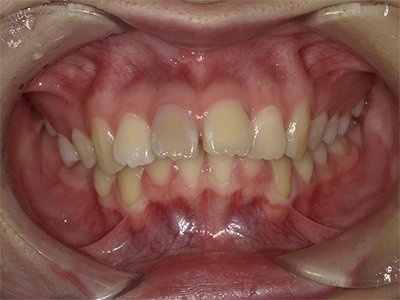
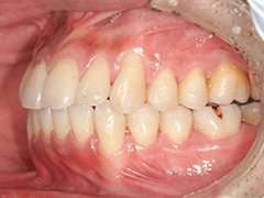
    20代

    叢生
    交叉咬合
    • 叢生/交叉咬合 治療前写真 Before
    • 叢生/交叉咬合 治療後写真 After
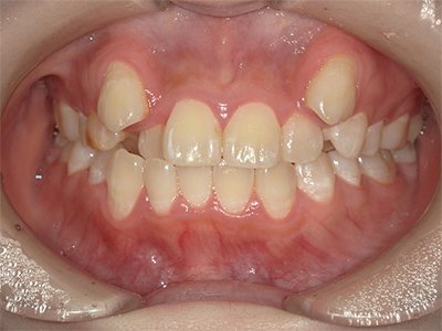
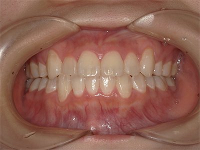
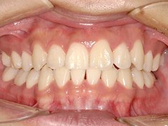
  2. 02

    30代

    上顎前突
    • 上顎前突 治療前写真 Before
    • 上顎前突 治療後写真 After

美しさと健康を
両立する矯正治療

40代から50代になると、歯周病のリスクが高まります。歯並びの乱れは歯磨きのしにくさを招き、歯周病を悪化させる一因にもなります。インビザラインは、取り外してブラッシングができるため、口腔内を清潔に保ちやすく、矯正治療と同時に歯周病の予防・管理も行いやすい点が大きな利点です。美しい口元を整えながら、将来の歯の健康を守ることにつながります。
また、この年代ではお子さんの矯正治療をきっかけに、ご自身の歯並びを見直される方も少なくありません。「今からでも間に合うの?」と不安に思う方もいらっしゃいますが、年齢を理由に諦める必要はありません。

文章
Middle aged
文章

症例紹介

  1. 01

    40代

    叢生
    交叉咬合
    • 叢生/交叉咬合 治療前写真 Before
    • 叢生/交叉咬合 治療後写真 After
  2. 02

    50代

    叢生
    交叉咬合
    • 叢生/交叉咬合 治療前写真 Before
    • 叢生/交叉咬合 治療後写真 After

お口の健康寿命を
延ばす矯正治療

60代以降では、ご自身の歯を少しでも長く健康に保ちたいと考える方が増えてきます。矯正治療は、見た目を整えるだけでなく、将来のお口の健康を守るためにも有効な方法です。乱れた歯並びは、特定の歯に大きな負担をかけたり、食べ物が挟まりやすくなったりする原因となります。
インビザラインで歯並びを整えることで、噛む機能が向上し、食べ物が詰まりにくくなるため、むし歯や歯周病のリスクを軽減できます。
歯やあごの骨の状態には個人差がありますが、歯周病が進行していなければ、年齢に関わらずインビザライン治療を受けられる可能性が高いです。健康的なお口を維持し、豊かなセカンドライフを送りましょう。

文章
Seniors
文章

症例紹介

  1. 01

    60代

    叢生
    • 叢生 治療前写真 Before
    • 叢生 治療後写真 After

あなたの歯並びは
どのタイプ?
症例別インビザライン
治療法
Treatment Method

インビザラインは、様々な歯並びの悩みに対応できる矯正治療です。代表的な症例と、それぞれの治療方法の特徴を紹介します。

文章

軽度の叢生(歯のでこぼこ)
マウスピース単独で対応
Mild crowding

叢生(そうせい)は、歯が並びきらず、重なり合ったりねじれたりしている状態を指します。いわゆる「でこぼこ」の歯並びです。軽度の叢生であれば、特別な装置を併用せず、インビザラインのマウスピースだけで歯をきれいに並べることが可能です。
このケースでは、治療期間が比較的短く済むことが多いのが大きなメリットです。また、症状によっては歯の表面に付けるアタッチメント(小さな突起物)が不要なケースもあり、より目立たずに治療を進められます。

文章

出っ歯・受け口
アタッチメントや
顎間ゴムを併用
Protruding teeth/underbite

出っ歯(上顎前突)や受け口(下顎前突)は、あごの骨の位置関係に問題があることが多く、マウスピースだけでは治療が難しいケースがあります。この場合は、歯の動きをコントロールするために、歯の表面にアタッチメントと呼ばれる、歯と同じ色の小さな突起を装着します。これにより、マウスピースが歯を効率的に動かすことが可能になります。また、上下の歯にかけた顎間ゴムを使用し、あごの位置を調整しながら、噛み合わせを改善します。
これらの補助装置を併用することで、より複雑な歯の動きに対応でき、抜歯が必要なケースでも、歯を後方に動かしてスペースを確保することが可能となります。

文章

噛み合わせ不良や欠損歯に対して
インプラントや補綴治療と
組み合わせて対応
Implants and prosthetic treatment

噛み合わせのズレや歯の欠損がある場合、矯正治療だけでは十分に対応できないことがあります。たとえば、歯が抜けたままになっていると、周囲の歯が移動して歯並び全体のバランスが崩れる原因になります。
このようなケースでは、まず矯正治療で歯を正しい位置に動かしたうえで、インプラント(人工歯根)や補綴治療(かぶせ物や入れ歯)を組み合わせて欠損部を補います。歯並びを整えることで、その後の補綴治療がスムーズに行え、より長持ちする健康的な状態を目指すことができます。

院長の症例紹介 Case introduction

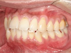
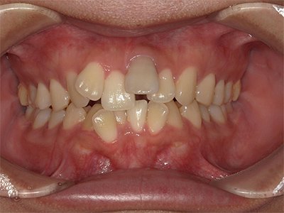
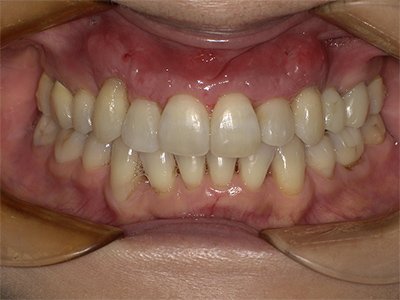
  1. 01

    複数の歯が左右に
    飛び出しガタガタに
    なっている症例

    叢生
    • 叢生 治療前写真 Before
    • 叢生 治療後写真 After
    年齢・性別20代・男性
    治療期間2年
    治療費用1,056,000円(税込)
    リスク・副作用装着方法や装着時間が適切でない場合、計画通りに歯が移動しない可能性があります。
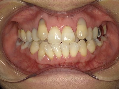
  2. 02

    前歯が大幅に
    突出して口ゴボに
    なっている症例

    出っ歯
    • 出っ歯 治療前写真 Before
    • 出っ歯 治療後写真 After
    年齢・性別30代・男性
    治療期間2年
    治療費用1,056,000円(税込)
    リスク・副作用装着方法や装着時間が適切でない場合、計画通りに歯が移動しない可能性があります。
  3. 03

    上の歯が
    隠れてしまうほど
    下の歯が突出した症例

    受け口
    • 受け口 治療前写真 Before
    • 受け口 治療後写真 After
    年齢・性別20代・女性
    治療期間2年
    治療費用1,056,000円(税込)
    リスク・副作用装着方法や装着時間が適切でない場合、計画通りに歯が移動しない可能性があります。
  4. 04

    前歯全体で
    歯と歯の間に隙間が
    できてしまっている症例

    すきっ歯
    • すきっ歯 治療前写真 Before
    • すきっ歯 治療後写真 After
    年齢・性別20代・女性
    治療期間2年
    治療費用1,056,000円(税込)
    リスク・副作用装着方法や装着時間が適切でない場合、計画通りに歯が移動しない可能性があります。

院長 桝 和成による
矯正への思い
Thought

インビザラインの
メリット・デメリット

  • Merit

    メリット

    • 透明で目立ちにくい
    • 取り外し可能で衛生的
    • 食事制限がほとんどない
    • 金属アレルギーの心配がない
    • デジタルシミュレーションで治療前に
      仕上がりを確認できる
  • Demerit

    デメリット

    • 毎日20時間以上の装着が必要
    • 装着時間が不足すると治療が進まない
    • 適応できない複雑な症例もある

FOUR REASON 選ばれる4つの理由

  • 01 実績

    年間250症例以上を扱う
    プラチナエリートプロバイダー

    診療メニュー画像1

    当院は年間で250症例以上のインビザライン矯正を扱う『プラチナエリートプロバイダー』認定医院です。インビザライン社は医院の経験に応じた独自の認定制度を設けており、医院の治療実績によってランク付けがされています。京都府内でも数少ないプラチナエリートプロバイダーの認定を受けた医院ですので、安心して治療を受けていただけます。

  • 02 技術力

    幅広い知識・経験を持つ
    院長が行う矯正治療

    診療メニュー画像1

    矯正治療は、歯並びだけを良くすればよいというものではありません。噛み合わせを慎重に計算し、矯正後の機能面もしっかりと考慮した治療を行うには幅広い知識・経験が必要です。
    当院の院長は専門学会の認定医です。これまでに培ってきた経験を活かして、精度の高いマウスピース矯正をご提供いたします。

  • 03 診断力

    当院独自の診断基準が
    あなたの「理想」を叶える

    診療メニュー画像1

    当院は独自に設けた3つの診断基準を基に、
    あなたの理想を叶える矯正治療を提供します。

    1. 01

      歯列・骨格・咬合の全てを加味することで、治療後の見た目が美しくなるだけでなく、機能性も高い歯並びを実現します。

    2. 02

      さまざまな角度から顔貌を診断し、どんな角度から見ても美しい口元になるような、矯正治療計画を設計します。

    3. 03

      歯並びが美しくなっても歯茎が下がっていたり薄くなっていると美しい口元は実現できません。歯肉の形状にまで気を配り「歯列」だけでなく「口元全体」を美しく矯正します。

  • 04 料金体系

    患者様ひとりひとりに
    合わせた
    治療プラン

    診療メニュー画像1

    より多くの患者様の理想を叶えるために、2つの治療プランをご用意しています。プランによって治療費用・治療内容が異なるため、患者様に合ったプランを選んでいただくことで、より満足していただける矯正治療をご提供します。

精密診断について Precise diagnosis

リード_02 イメージ1

患者様一人ひとりに適した矯正治療をご提供するために、丁寧な精密診断を大切にしています。目視での診察に加え、歯科用CTやiTeroスキャナー(5D)などのデジタル技術を駆使して、お口の中の状態を詳細に分析します。

歯科用CTでは歯やあごの骨、神経、血管といったお口の中の構造を立体的に把握できるため、見た目だけではわからない部分まで詳しく調べることが可能です。またiTeroスキャナーの導入によって、より緻密な情報を取得できます。

精密診断を通じて、患者様がご自身の状態を深く理解し、納得した上で治療に臨んでいただけるようサポートいたします。何かご不明な点がありましたら、お気軽にご質問ください。

口腔内スキャナーiTero
(アイテロ)5Dの特徴

治療をより精密に進めるために、デジタルスキャナーiTero(アイテロ) 5Dを導入しています。型取りの精度が格段に向上しただけでなく、見えないむし歯まで発見できる新しい技術も搭載されています。
また、放射線を一切使用しないため、お子さんや妊娠中の方にも安心して受けていただけます。お口の中に入れる先端部分は使い捨てなので、常に清潔な状態で検査を行います。

  • カラム_04 イメージ1

    精密な型取り

    これまでの粘土のような材料で型を取る方法とは違い、小型のカメラでお口の中をスキャンするだけです。わずか1分ほどで完了するため、吐き気を感じることもなく、リラックスして型取りを受けていただけます。
    さらに、1秒間に6,000枚もの画像を撮影できるため、非常に精密な歯型データを作成できます。
    このデータをもとに作られるマウスピースはフィット性が高く、歯をスムーズに動かせます。

    スキャンデータはオンラインで即座に送信されるため、従来の郵送にかかる時間がなくなり、治療の準備期間を大幅に短縮できます。これにより、より早く治療を開始することが可能です。

  • カラム_04 イメージ1
    映像で確認できる

    iTero 5Dには、専用のシミュレーションソフトが搭載されています。スキャンしたデータを使って、治療中に歯がどのように動いていくか、そして最終的な歯並びがどうなるかを、3Dアニメーションで事前に確認できます。
    過去の膨大な治療データに基づいた正確な予測に基づいて治療に臨めます。

  • カラム_04 イメージ1

    見えない虫歯や
    歯石も発見

    iTero 5Dには、従来のモデルにはなかった近赤外光画像技術が新しく加わりました。レントゲンを撮らなくても、光の反射を利用して歯の内部や歯と歯の間を調べることができ、目視では見つけにくい初期の虫歯や隠れた歯石を発見できます。

文章

3Dシミュレーションで
治療のゴールを可視化
Simulation

精密診断で得られたデータは、オーダーメイドの治療計画を作成するのに役立ちます。インビザライン治療ではお口の中の情報を基に、歯がどのように動いていくかを3Dでシミュレーションする「クリンチェック」という特別なシステムを使用します。
治療開始から完了までの歯の動きをアニメーションで確認でき、「最終的にどんな歯並びになるのか」を事前に把握できるため、モチベーションの維持にもつながります。

FLOW 治療の流れ

  • 01

    精密検査

    無料相談よりもさらに詳しく、レントゲン撮影やお顔・お口の中の写真撮影、iTeroスキャンなど、治療に必要な検査を行います。
    当院では最新機器を使用して検査を行い、より精度の高い矯正治療を提供しております。

    診療メニュー画像1
  • 02

    3D治療計画の作成

    精密検査の結果を基に、アライン・テクノロジー社が独自に開発した3D治療計画ソフトを使用して、歯科医師が治療計画を作成します。
    治療計画では、最終的な歯の理想の位置が示され、おおよその治療期間も確認できます。治療計画にご納得いただけましたら、マウスピース(アライナー)を発注します。

    診療メニュー画像2
  • 03

    アライナーの装着

    1枚目のマウスピース(アライナー)の取り外しの練習や使用方法、注意事項などのご説明をさせて頂きます。また同時にIPR(歯と歯の間にスペースの作成)、アタッチメント(突起物)の装着を行います。
    1枚を3日~10日間使用し、その後ご自身で次のアライナーに付け替えていただきます。
    ※次回のご来院は約1ヶ月後になります。

    診療メニュー画像3
  • 04

    治療経過の確認

    1ヶ月に一度のペースでご来院いただきます。チェック内容は以下の通りです。

    1. ・アライナーの適合状態※アタッチメントが外れていたら再度装着します。
    2. ・治療の進行状況の確認※必要に応じプログレスアセスメントを行います。
    3. ・口腔内の清掃状態
    診療メニュー画像3
  • 05

    治療終了

    当初の治療計画のもと、作製したアライナーを最後まで使用していただいた後、噛み合わせの確認やシミュレーション画像との比較を行います。ここで計画通りに歯が動いていなかった場合は、治療期間を延長し理想的な歯並びを目指します。

    診療メニュー画像3
  • 06

    保定・定期的なメンテナンス

    矯正した後に歯並びを安定させるために、リテーナーを装着し、きれいな歯並びが後戻りしないように固定します。この期間は個人差がありますので、ご相談ください。

    診療メニュー画像3

せっかく矯正した綺麗な歯並びが後戻りしないように、治療終了後もしっかりとサポートさせていただきます。治療の流れについてのご質問や、無料相談をご検討の方は、お電話もしくはWEB予約フォームからお問い合わせください。

選べる治療プラン Plan

スタンダードプラン Standard
プレミアムプラン Premium
治療料金
(資料採得費含む)
957,000 円(税込)
治療料金
(資料採得費含む)
1,056,000 円(税込)
月管理費 ×
月管理費 ×
月管理費 × PBMヒーリング: 90,000円(税抜)
購入可(2年間保証)
月管理費 × PBMヒーリング付
(2年間保証)
治療期間 約3年〜4年
治療期間 約2年〜2年半
矯正保証期間 最大5年間
契約時
矯正保証期間
最大5年間
再矯正の保証 ×
治療終了時
再矯正の保証
最大5年間 ※保証期間後の再矯正は280,000円(税抜)にて
最大15年の保証

当院の施設基準について

施設基準届出項目等

当院は、以下の施設基準等に適合している旨を厚生労働省地方厚生(支)局に届出しています。

歯科初診料の注1に規定する基準

歯科外来診療における院内感染防止対策を十分に整備し、必要な機器を備えています。また、研修を受けた常勤の歯科医師およびスタッフが在籍しています。

医療DX推進体制整備加算

当院では、オンライン資格確認等を活用し、患者様に質の高い医療を提供するために必要な情報を取得し、診療時に活用しています。

在宅医療DX情報活用加算

訪問診療の際にも、オンライン資格確認等を活用して十分な情報を取得し、計画的な医学管理のもとで質の高い在宅医療を行っています。

クラウン・ブリッジ維持管理料

装着した冠(かぶせ物)やブリッジについて、2年間の維持管理を行っています。

CAD/CAM冠およびCAD/CAMインレー

コンピュータ支援設計・製造装置(CAD/CAM)を用いた冠やインレー(かぶせ物・詰め物)による治療を実施しています。

歯科技工士連携加算(1・2)

補綴物の製作にあたり、歯科技工士(所)との連携体制を確保しています。必要に応じて、情報通信機器を活用した連携も行っています。

光学印象

CAD/CAMインレー等の製作に際し、デジタル印象採得装置を用いた歯型取りを実施しています。

歯科外来診療医療安全対策加算1

医療安全対策に関する研修を受けた歯科医師および医療安全管理者を配置し、AED(自動体外式除細動器)を備えています。
また、緊急時には他の医療機関と連携し、医療安全に関する体制を整えています。

連携先医療機関名(病院等含む)
京都府立医科大学附属病院
電話番号:075-251-5111
連携方法:電話
歯科外来診療感染対策加算1

院内感染管理者を配置し、感染防止対策について十分な体制を整備しています。

小児口腔機能管理料の注3に規定する口腔管理体制強化加算

歯科疾患の重症化予防に資する継続管理(口腔機能の管理を含む)を行っています。高齢者・小児の特性や緊急時対応等に関する研修を修了しており、う蝕や歯周病の重症化予防に関する実績も有します。また、地域連携に関する会議等にも参加しています。

連携先医療機関名(病院等含む)
京都府立医科大学附属病院
電話番号:075-251-5111
在宅療養支援歯科診療所(1・2)

訪問診療に際し、歯科医療面から支援できる体制を確保し、他の医療機関と連携しています。

連携先医療機関名(病院等含む)
京都府立医科大学附属病院
電話番号:075-251-5111
歯科治療時医療管理料

全身的な管理が必要な患者様の治療においては、医科の主治医や病院と連携し、モニタリングなどを行いながら治療を実施しています。

連携先医療機関名(病院等含む)
京都府立医科大学附属病院
電話番号:075-251-5111
当院は保険医療機関です。
個人情報保護法を順守しています。

個人情報保護法を遵守し、問診票・診療録・検査記録・エックス線写真・歯型・処方せんなどの個人情報は、掲示した利用目的以外には使用いたしません。

在宅訪問診療

通院が困難な患者様に対しては、在宅訪問診療を行っています。

義歯(入れ歯)作製に関して

新しい義歯を保険で作製する場合は、前回の作製から6か月以上経過している必要があります。他院で作られた義歯についても同様の取り扱いとなります。

診療情報提供について

当院では、診療情報の文書による提供に努めています。

「十条駅」徒歩7分 アクセス ご予約・お問い合わせ 075-662-1600 タップで電話する 24時間受付中! WEB予約 24時間WEB予約 症例集