40代以上の方へ
インプラント・矯正総合治療
Aged 40 or older

40代からの矯正治療は
“ゴール”ではなく
“入口”
ですNew beginning

リード_02 イメージ1

40代になると、歯や歯ぐきに変化が現れやすくなります。実際に、40歳以上の約6割の方が歯を失っているといわれています。その原因は、歯列の乱れによる磨き残しや虫歯、歯周病、不正咬合による歯の破折や顎関節のトラブルなど、多岐にわたります。
これらは相互に影響し合っているため、矯正治療だけでは十分とはいえません。大切なのは、「矯正治療を入口として、口腔全体の健康を見直すこと」です。歯の位置を正すことは、すべての歯科治療の基盤となります。


この先求められる
歯科治療の考え方

イメージ

噛み合わせ・歯並び・虫歯・歯周病・補綴治療は、すべてが密接に関わっています。矯正治療だけ、インプラントだけといった一部分だけを対象とした治療では、根本的な解決にはつながりません。乱れた咬合は歯磨きのしにくさを招き、虫歯や歯周病のリスクを増加させます。
その結果、歯の破折や抜歯につながる可能性も高まります。噛み合わせを基盤とした総合的な治療こそが、40代以降に求められる歯科治療の在り方です。

“生理的”か“病的”かを
見極めることが重要
生理的なケース軽度の叢生があっても、顎関節や咬合に問題がなければ、治療を急ぐ必要がない場合もあります。
病的なケースあごの痛みや咬合不良がある場合は、矯正治療による改善が必要です。
トピックス_02 イメージ

歯並びを整えることから始まる、
お口全体の健康管理
Dental wellness

矯正治療を成功させるためには、歯並びだけでなく、お口全体の状態を総合的に診査することが重要です。虫歯や歯周病、噛み合わせ、欠損歯、被せ物など、お口の健康に関わる要素は多岐にわたります。
マス歯科・矯正歯科では、矯正治療だけでなく、インプラントや補綴(被せ物)、そしてお口全体の機能に深く関わる咬合(噛み合わせ)に関しても豊富な知識と経験を持つ院長が、患者様一人ひとりの状態を総合的に診断します。

一般的な歯科医院では、専門分野ごとに別の医院を紹介されるケースも少なくありませんが、当院では、矯正治療をきっかけに、お口全体を根本から健康に導くための治療計画を一貫してご提案します。複数の医院に通う手間を省き、患者様に安心してすべての治療をお任せいただける体制を整えています。

トピックス_02 イメージ

矯正とインプラントの連携で、
失われた歯と
噛み合わせを再構築
Bite reconstruction

中高年の方で歯を失ってしまった場合、単に見た目を整えるだけでは、お口の健康を長期的に保つことは困難です。そこで有効なのが、矯正治療とインプラント治療を組み合わせた包括的なアプローチです。
まず、矯正治療で残っている歯の位置を理想的な位置へ整え、インプラントを埋入するためのスペースを確保します。歯並びが整った後、欠損部分へインプラントを埋入することで、歯の機能を回復させるとともに、噛み合わせ全体のバランスを安定させます。

この二段階の治療により、単に歯を補うだけでなく、治療後のトラブル再発リスクを大幅に抑え、ご自身の歯のようにしっかりと噛める機能を長期にわたって維持できます。

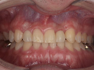
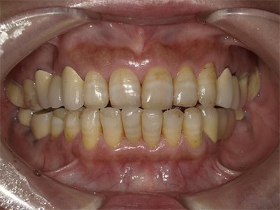
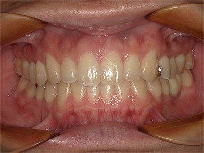
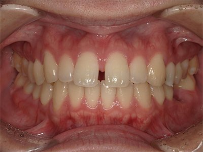
症例紹介

  1. 01
    空隙歯列
    • 叢生 治療前写真 Before
    • 叢生 治療後写真 After
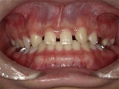
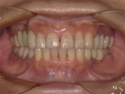
  2. 02
    空隙歯列
    過蓋咬合
    • 叢生 治療前写真 Before
    • 叢生 治療後写真 After
  3. 03
    叢生
    • 叢生 治療前写真 Before
    • 叢生 治療後写真 After

未来の健康を考えるなら、
インプラントが有効な選択肢

イメージ

歯を失った場合の治療法として、インプラントは有力な選択肢の一つです。インプラントは、あごの骨と直接結合するため、まるでご自身の歯のようにしっかりと固定され、隣の歯を削る必要がありません。そのため、隣在歯への負担を軽減し、健全な歯を保てます。

一方、ブリッジ治療は隣の歯を削って支えにするため、健康な歯に負担をかける場合があります。また、二次的な虫歯や歯周病のリスクを高めることも指摘されています。入れ歯のように動揺したり、歯磨きがしにくかったりするデメリットも少ないため、噛み合わせを安定させ、長期的な健康維持を考慮した治療法として有効です。

精密な被せ物で、
歯の寿命を延ばす

イメージ

矯正治療やインプラント治療で歯並びや噛み合わせを整えた後は、精密な被せ物(補綴物)を装着することで、お口の健康をさらに安定させることができます。当院では、熟練した歯科技工士と連携し、適合精度の高い補綴物を製作しています。
歯と被せ物の間にわずかな隙間があると、そこから虫歯菌や歯周病菌が侵入し、再治療が必要になるリスクが高まることがあります。
しかし、精密に適合した被せ物は歯にぴったりと密着し、トラブルの再発を防ぎながら、歯をより長く保つことにつながります。

見た目の美しさだけでなく、噛み合わせの機能性も考慮して製作することで、お口全体のバランスが整い、おいしく食事を楽しめる豊かな生活を取り戻すことができます。

当院の施設基準について

施設基準届出項目等

当院は、以下の施設基準等に適合している旨を厚生労働省地方厚生(支)局に届出しています。

歯科初診料の注1に規定する基準

歯科外来診療における院内感染防止対策を十分に整備し、必要な機器を備えています。また、研修を受けた常勤の歯科医師およびスタッフが在籍しています。

医療DX推進体制整備加算

当院では、オンライン資格確認等を活用し、患者様に質の高い医療を提供するために必要な情報を取得し、診療時に活用しています。

在宅医療DX情報活用加算

訪問診療の際にも、オンライン資格確認等を活用して十分な情報を取得し、計画的な医学管理のもとで質の高い在宅医療を行っています。

クラウン・ブリッジ維持管理料

装着した冠(かぶせ物)やブリッジについて、2年間の維持管理を行っています。

CAD/CAM冠およびCAD/CAMインレー

コンピュータ支援設計・製造装置(CAD/CAM)を用いた冠やインレー(かぶせ物・詰め物)による治療を実施しています。

歯科技工士連携加算(1・2)

補綴物の製作にあたり、歯科技工士(所)との連携体制を確保しています。必要に応じて、情報通信機器を活用した連携も行っています。

光学印象

CAD/CAMインレー等の製作に際し、デジタル印象採得装置を用いた歯型取りを実施しています。

歯科外来診療医療安全対策加算1

医療安全対策に関する研修を受けた歯科医師および医療安全管理者を配置し、AED(自動体外式除細動器)を備えています。
また、緊急時には他の医療機関と連携し、医療安全に関する体制を整えています。

連携先医療機関名(病院等含む)
京都府立医科大学附属病院
電話番号:075-251-5111
連携方法:電話
歯科外来診療感染対策加算1

院内感染管理者を配置し、感染防止対策について十分な体制を整備しています。

小児口腔機能管理料の注3に規定する口腔管理体制強化加算

歯科疾患の重症化予防に資する継続管理(口腔機能の管理を含む)を行っています。高齢者・小児の特性や緊急時対応等に関する研修を修了しており、う蝕や歯周病の重症化予防に関する実績も有します。また、地域連携に関する会議等にも参加しています。

連携先医療機関名(病院等含む)
京都府立医科大学附属病院
電話番号:075-251-5111
在宅療養支援歯科診療所(1・2)

訪問診療に際し、歯科医療面から支援できる体制を確保し、他の医療機関と連携しています。

連携先医療機関名(病院等含む)
京都府立医科大学附属病院
電話番号:075-251-5111
歯科治療時医療管理料

全身的な管理が必要な患者様の治療においては、医科の主治医や病院と連携し、モニタリングなどを行いながら治療を実施しています。

連携先医療機関名(病院等含む)
京都府立医科大学附属病院
電話番号:075-251-5111
当院は保険医療機関です。
個人情報保護法を順守しています。

個人情報保護法を遵守し、問診票・診療録・検査記録・エックス線写真・歯型・処方せんなどの個人情報は、掲示した利用目的以外には使用いたしません。

在宅訪問診療

通院が困難な患者様に対しては、在宅訪問診療を行っています。

義歯(入れ歯)作製に関して

新しい義歯を保険で作製する場合は、前回の作製から6か月以上経過している必要があります。他院で作られた義歯についても同様の取り扱いとなります。

診療情報提供について

当院では、診療情報の文書による提供に努めています。

「十条駅」徒歩7分 アクセス ご予約・お問い合わせ 075-662-1600 タップで電話する 24時間受付中! WEB予約 24時間WEB予約 症例集