歯並びが変わると、人生が変わる
失ってしまった歯も、
しっかり噛めるように

マス歯科だからできる治療

Life Changing Changing your teeth alignment can change your life.
Even if you have lost a tooth, you can chew properly.

  • Teenagers

    中高生の矯正治療

    中高生のうちに矯正を始めることで、将来的な抜歯のリスクを減らせる場合があります。見た目のコンプレックスや発音、口呼吸・舌癖、部活動への影響など、歯並びに悩む学生の方から多くご相談いただいています。

    中高生のための矯正治療ページへ

  • Adult

    大人の矯正治療

    噛み合わせのズレ、歯のすり減り、歯周病リスク、補綴やインプラント前の歯列調整など、機能面を改善し将来の歯の健康を守る目的で多くの方が治療を始めています。

    大人の矯正・総合治療ページへ

  • Mouthpiece

    マウスピース矯正
    (インビザライン)

    マウスピース矯正(インビザライン)は、目立ちにくく取り外しも可能なため、食事や歯磨きがしやすく、接客業をされている方など、日常生活への支障が少ない矯正方法です。通院回数も抑えやすく、治療過程のシミュレーションを確認しながら安心して治療を進められます。

    マウスピース矯正
    (インビザライン)ページへ

治療プラン例 Plan

スタンダードプラン Standard おすすめプラン プレミアムプラン Premium
治療料金(資料採得費含む) 957,000円(税込) 治療料金(資料採得費含む) 1,056,000円(税込)
月管理費 月管理費
光加速装置
PBMヒーリング: 90,000円(税抜)
購入可(2年間保証)
光加速装置
PBMヒーリング付
(2年間保証)

治療費について詳しく見る

矯正治療に対する考え方 Concept

矯正治療は、単に歯並びを整えるものではなく「噛み合わせと美しさを両立させる」医療です。歯を本来あるべき位置に導くことで、見た目の改善はもちろん、将来にわたって健康なお口を維持することにつながります。

そのためにはまず、資料採得と精密な診断を行い、骨格や口元のバランスに合わせた理想的な歯の位置を設計します。そのうえで、虫歯・歯周病・補綴治療なども含めた総合的な治療計画をご提案します。
必要に応じて抜歯の可能性についてもご説明し、患者様と一緒に納得いただける方法を選びます。近年ではマウスピース矯正の普及により、非抜歯での治療の選択肢も広がっており、症例に応じて柔軟に対応が可能です。

診療はすべて、インビザライン「プラチナエリートドクター」に認定された院長が担当します。101症例以上の豊富な実績に基づいた精度の高い治療を、烏丸線「十条駅」徒歩4分・京都線「十条駅」徒歩7分の通いやすい環境で受けていただけます。
平日はお忙しい方にも通っていただけるよう、土曜日も診療しております。私たちは、一人ひとりのライフスタイルや将来の健康を見据えた治療の提供を心がけています。

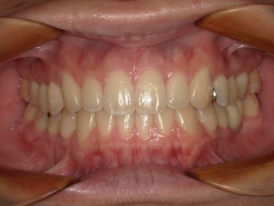
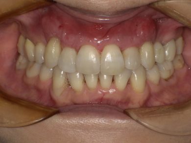
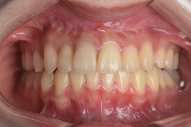
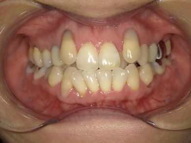
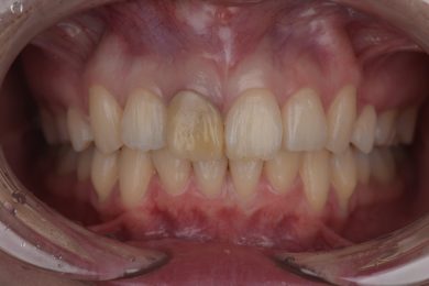
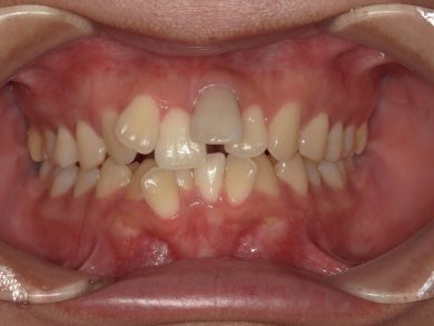
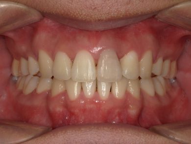
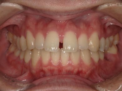
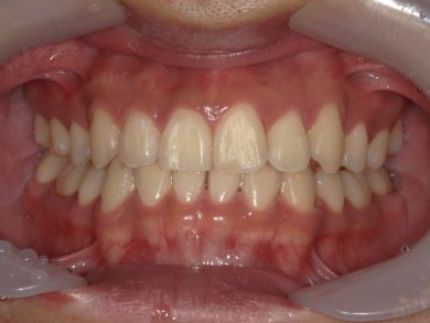
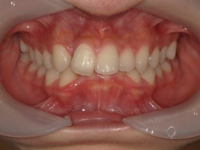
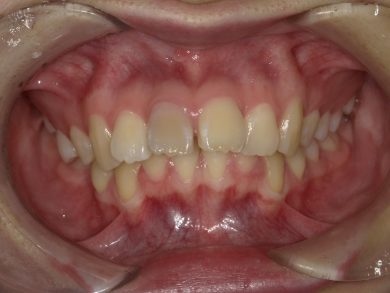
症例紹介 Case study

大人の矯正治療は、見た目を整えるだけではなく、将来のお口の健康を守るためにも大切です。当院では一人ひとりのお悩みや生活スタイルに合わせた治療法をご提案しています。
実際の症例をご覧いただき、「こんな治療ができるんだ」とイメージをふくらませてみてください。

空隙歯列

叢生

交叉咬合

上顎前突

上顎前突

交叉咬合

症例集ページへ

毎月30 以上の方に ご予約を頂く 無料相談実施中 Free consultation

「今の歯並びや噛み合わせがどのように変化していくのか」「どのような歯並びを目指したいのか」について、レントゲンや口腔内写真を一緒に確認しながら、丁寧にカウンセリングいたします。
カウンセリングの結果にご納得いただけない場合は、無理に当院で治療を受けていただく必要はありません。強引な勧誘や無理な契約は行いませんので、ぜひお気軽に無料相談にお越しください。

午後 【平日】17:30 ~ 18:00
【土曜日】17:00 ~ 17:30
  1. ご予約 Reservation

    WEB予約もしくは、お電話にてご予約をお取り下さい。無料相談をご希望の方には、必ずご予約をお願いしています。初回は矯正相談に加え、必要な検査も行うため、所要時間は約30分となります。

  2. 問診票のご記入 Interview sheet

    現在気になっている歯並び、治療期間、費用面での不安、日常生活で困っている点などをご記入いただきます。問診内容は、後ほどの説明や治療計画の参考資料として使用いたします。

  3. レントゲン撮影 X-ray Examination

    歯の根の状態や骨格をより正確に把握するため、レントゲン撮影を行います。お口の中だけでは分からない情報を把握することで、より精度の高い診断につなげていきます。

  4. ご説明 Presentation

    取得した3Dデータやレントゲン画像などの資料をもとに、現在のお口の状態や骨格、考えられる治療の方向性を分かりやすくご説明します。

    • 矯正治療の基本的な考え方
    • 噛み合わせとあごの骨格との関係
    • 治療の進め方やおおよその期間
    • 費用の目安やプランの違い

    といったポイントを、スライドなどを用いながら順を追ってお話しします。
    ご不明点やご不安なことがあれば、その都度遠慮なくご質問ください。

  5. 似た症例のご紹介 Case Gallery

    患者様と近い歯並び・骨格の方の症例を、ビフォーアフターのお写真などを用いてご紹介します。どのような変化が期待できるのか、治療の流れや仕上がりのイメージをより具体的に持っていただけるよう丁寧にご説明します。

  6. お見積もりのご案内 Estimate

    ご説明した内容を踏まえ、治療内容に応じた費用の目安をご案内します。複数の治療プランをご用意しておりますので、患者様のご希望やライフスタイルに合わせてお選びいただけます。分割払いをご希望の方には、デンタルローンのご利用方法もご案内しています。

  7. 質疑応答 Q&A Session

    気になる点やご不明点に丁寧にお答えします。なお、無料相談は「契約の場」ではなく、「情報提供の場」として位置づけております。一度ご自宅に持ち帰り、じっくりご検討ください。もちろん、そのまま治療に進みたい方には、当日のご案内も可能です。

マス歯科の押し売りゼロ

マス歯科の押し売りゼロ No hard selling

当院では、ご契約を前提としたご提案は行っておりません。まずは患者様のお悩みやご希望を伺い、そのうえで必要な情報を丁寧にお伝えし、内容にご納得いただいてから治療に進めることを大切にしています。
「治療を受けたい」と前向きにお考えの方には、その場でご予約を承ることも可能ですが、こちらから積極的に促したり、無理にお勧めしたりすることは一切ございません。
患者様に「ここを選んでよかった」と感じていただけることが、私たちにとって一番の励みになります。お一人おひとりの気持ちに寄り添った診療を心がけています。

未来のお口の
健康まで見据えた、
大人のための矯正治療
For adult

成人の方の場合、すでに虫歯や歯周病、欠損歯、被せ物があるケースも少なくありません。そのため「矯正治療だけ」で終わらせるのではなく、必要に応じて虫歯治療・歯周病治療・補綴治療を組み合わせることが大切です。歯並びを整えると同時に、お口全体を治療することで、長く健康な状態を保つことができます。

4つの診断で、一人ひとりに適した治療をプランニング

矯正治療を始める前に「矯正診断」「かみ合わせ(咬合)」「補綴設計(被せ物やインプラントの計画)」「治療計画」など、複数の視点から丁寧に診断を行います。その結果をもとに総合的な治療計画を立てることで、お口全体の健康を長期的に守ることが可能です。
矯正治療をきっかけに、将来を見据えた包括的
な治療をご提案できることが、当院における成人矯正の大きな強みです。

ドクター紹介 Doctor

院長はインビザライン社認定の「プラチナエリートドクター」として、これまで 101症例以上の豊富な実績を持ち、幅広い治療経験を積んでいます。矯正治療は見た目を整えるだけでなく将来の健康を守るための医療と考え、これまでに培った知識と技術を活かして、様々な治療法を組み合わせたオーダーメイドの治療計画をご提案いたします。

矯正治療は長い期間を共に歩むものだからこそ、患者様とのコミュニケーション、そして信頼関係を何よりも大切にしています。「この医院なら安心して任せられる」と思っていただけるよう、確かな技術と丁寧なご説明でスタッフ一同サポートいたします。
不安や疑問があれば、そのままにせず、どんな些細なことでもお気軽にお話しください。

院長 桝 和成

院長紹介ページへ

桝院長が
インタビューを受けました。
Interview

~生い立ちや歯科医師としての思い、
今後の展望などについて
お話させて頂きました。~

インスタグラム Instagram

当院の施設基準について

施設基準届出項目等

当院は、以下の施設基準等に適合している旨を厚生労働省地方厚生(支)局に届出しています。

歯科初診料の注1に規定する基準

歯科外来診療における院内感染防止対策を十分に整備し、必要な機器を備えています。また、研修を受けた常勤の歯科医師およびスタッフが在籍しています。

医療DX推進体制整備加算

当院では、オンライン資格確認等を活用し、患者様に質の高い医療を提供するために必要な情報を取得し、診療時に活用しています。

在宅医療DX情報活用加算

訪問診療の際にも、オンライン資格確認等を活用して十分な情報を取得し、計画的な医学管理のもとで質の高い在宅医療を行っています。

クラウン・ブリッジ維持管理料

装着した冠(かぶせ物)やブリッジについて、2年間の維持管理を行っています。

CAD/CAM冠およびCAD/CAMインレー

コンピュータ支援設計・製造装置(CAD/CAM)を用いた冠やインレー(かぶせ物・詰め物)による治療を実施しています。

歯科技工士連携加算(1・2)

補綴物の製作にあたり、歯科技工士(所)との連携体制を確保しています。必要に応じて、情報通信機器を活用した連携も行っています。

光学印象

CAD/CAMインレー等の製作に際し、デジタル印象採得装置を用いた歯型取りを実施しています。

歯科外来診療医療安全対策加算1

医療安全対策に関する研修を受けた歯科医師および医療安全管理者を配置し、AED(自動体外式除細動器)を備えています。
また、緊急時には他の医療機関と連携し、医療安全に関する体制を整えています。

連携先医療機関名(病院等含む)
京都府立医科大学附属病院
電話番号:075-251-5111
連携方法:電話
歯科外来診療感染対策加算1

院内感染管理者を配置し、感染防止対策について十分な体制を整備しています。

小児口腔機能管理料の注3に規定する口腔管理体制強化加算

歯科疾患の重症化予防に資する継続管理(口腔機能の管理を含む)を行っています。高齢者・小児の特性や緊急時対応等に関する研修を修了しており、う蝕や歯周病の重症化予防に関する実績も有します。また、地域連携に関する会議等にも参加しています。

連携先医療機関名(病院等含む)
京都府立医科大学附属病院
電話番号:075-251-5111
在宅療養支援歯科診療所(1・2)

訪問診療に際し、歯科医療面から支援できる体制を確保し、他の医療機関と連携しています。

連携先医療機関名(病院等含む)
京都府立医科大学附属病院
電話番号:075-251-5111
歯科治療時医療管理料

全身的な管理が必要な患者様の治療においては、医科の主治医や病院と連携し、モニタリングなどを行いながら治療を実施しています。

連携先医療機関名(病院等含む)
京都府立医科大学附属病院
電話番号:075-251-5111
当院は保険医療機関です。
個人情報保護法を順守しています。

個人情報保護法を遵守し、問診票・診療録・検査記録・エックス線写真・歯型・処方せんなどの個人情報は、掲示した利用目的以外には使用いたしません。

在宅訪問診療

通院が困難な患者様に対しては、在宅訪問診療を行っています。

義歯(入れ歯)作製に関して

新しい義歯を保険で作製する場合は、前回の作製から6か月以上経過している必要があります。他院で作られた義歯についても同様の取り扱いとなります。

診療情報提供について

当院では、診療情報の文書による提供に努めています。

「十条駅」徒歩7分 アクセス ご予約・お問い合わせ 075-662-1600 タップで電話する 24時間受付中! WEB予約 24時間WEB予約 症例集